
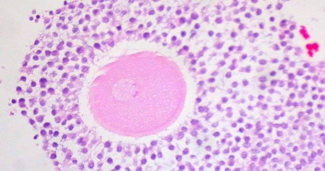
Your mom helped you get through one of the most dangerous times of your life – the first few days after fertilization. She did it without even thinking about it, by stuffing the egg that helped make you full of everything you needed for those first few cell divisions. You think I’m exaggerating? I’m not.
![]()
Source: io9